
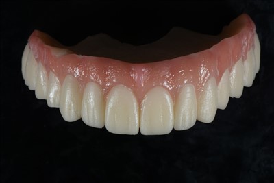
Feldspathic Veneers کیا ہیں؟
Feldspathic veneers، معدنی feldspar سے بنائے گئے، روایتی دانتوں کی ٹیکنالوجی میں ایک مقبول انتخاب ہیں۔ اس مواد کو ایک باریک پاؤڈر میں پیس کر شیشے کی طرح کے سیرامک میں ماہر چینی دانتوں کے سرامسٹوں نے تیار کیا ہے۔ فیلڈ اسپار رال کی پتلی تہوں کا استعمال کرتے ہوئے، ہر ایک سرٹیفکیٹ ڈینٹل ٹیکنیشن کے ذریعہ دستکاری سے تیار کیا جاتا ہے، اسے کمال کے لیے پکایا جاتا ہے، اور ایک پارباسی اور قدرتی شکل حاصل کرنے کے لیے اس کی شکل بنائی جاتی ہے۔ یہ پوشاک اعلیٰ معیار کی دانتوں کی لیبارٹریوں کا خاصہ ہیں، خاص طور پر وہ جو چین کی ADS ڈینٹل لیب میں ہیں۔
Feldspathic veneers دانتوں کی ظاہری شکل کو بڑھانے کے لیے ایک بہترین انتخاب ہیں۔ تصدیق شدہ شینزین ADS ڈینٹل لیبز میں تیار کردہ، یہ پوشاک بہت سے فوائد پیش کرتے ہیں:

01
قدرتی ظاہری شکل
Feldspathic veneers کو آپ کے قدرتی دانتوں کے ساتھ بغیر کسی رکاوٹ کے ملانے کے لیے اپنی مرضی کے مطابق بنایا گیا ہے، جس سے زندگی بھر کی مسکراہٹ کو یقینی بنایا جا سکتا ہے۔ ان کی شفافیت قدرتی تامچینی کی ظاہری شکل کی نقل کرتی ہے، جس سے وہ تقریباً ناقابل شناخت ہو جاتے ہیں۔
02
کم سے کم دانت کی تیاری
E-max veneers کے برعکس، feldspathic veneers کو دانتوں کے قدرتی ڈھانچے کو محفوظ رکھنے کے لیے بہت کم تامچینی ہٹانے کی ضرورت ہوتی ہے۔ غیر تیار دانتوں کے پوشاک ہماری چائنا ڈینٹل لیب کی طرف سے پیش کردہ ایک اہم خصوصیت ہیں۔
03
پائیداری
اگرچہ پتلی (0.3 ملی میٹر کے برابر)، فیلڈ اسپیتھک وینیرز 10 سال یا اس سے زیادہ تک چل سکتے ہیں جب مناسب طریقے سے بندھے ہوئے ہوں۔
04
لاگت کی تاثیر
چین میں ADS ڈینٹل لیبارٹری اس بات کو یقینی بناتی ہے کہ فیلڈ اسپیتھک وینرز مناسب قیمتوں پر دستیاب ہوں، جس سے دانتوں کے پریمیم حل سب کے لیے قابل رسائی ہیں۔
Feldspathic Veneers کس کے لیے موزوں ہیں؟

ایسے مریضوں کو جن کو غیر تیار پوشاکوں کی ضرورت ہوتی ہے۔
ان کے زیادہ تر تامچینی کے ساتھ دانت برقرار ہیں۔
معمولی نقائص جیسے ناہموار فاصلہ، رنگت، یا معمولی خرابی۔
اعلیٰ جمالیاتی تقاضوں کے حامل افراد۔
ہمیں کیوں منتخب کریں؟
ہم اپنے کاروبار کو بڑھانے کے لیے کوآپریٹو پارٹنر کی تلاش میں ہیں۔
گلوبل لاجسٹک حل
FedEx، UPS، DHL، اور LINEX کے ساتھ ہماری شراکتیں دنیا بھر میں تیز اور محفوظ ترسیل کو قابل بناتی ہیں۔
شینزین ڈینٹل لیب کی مہارت
ہم چین میں دانتوں کی ایک اعلیٰ لیبارٹری ہیں جس میں 400 سے زیادہ تصدیق شدہ ڈینٹل ٹیکنیشنز اور دیگر پریمیم ڈینٹل سلوشنز میں مہارت رکھتے ہیں۔ ہماری ٹیم کے پاس دانتوں کی روایتی اور جدید ٹیکنالوجیز میں کئی دہائیوں کا تجربہ ہے۔
وقف کسٹمر سپورٹ
40 سے زیادہ تربیت یافتہ نمائندے بغیر کسی رکاوٹ کے مواصلات اور 363- دن کی آن لائن مدد فراہم کرتے ہیں۔
فاسٹ ٹرناراؤنڈ ٹائمز
لاجسٹکس سمیت ایک سادہ کیس صرف 7 دنوں میں مکمل کیا جا سکتا ہے۔
جامع وارنٹی
ہمارے تمام فیلڈ اسپیتھک وینرز طویل مدتی وارنٹی کے ساتھ آتے ہیں، جو چین میں اعلیٰ معیار کے ڈینٹل لیب کے معیارات کے لیے ہماری وابستگی کی عکاسی کرتے ہیں۔
مصدقہ دانتوں کی مصنوعات
ہمارے پوشاک بین الاقوامی سرٹیفیکیشن جیسے سی ای، ایف ڈی اے، اور آئی ایس او کو پورا کرتے ہیں، حفاظت، بھروسے اور اعلیٰ کارکردگی کو یقینی بناتے ہیں۔
اکثر پوچھے گئے سوالات
ہماری چائنا ADS ڈینٹل لیب میں، ہم اعلیٰ معیار کے ڈینٹل لیب کے حل فراہم کرنے کے لیے جدید کاریگری کو روایتی ڈینٹل ٹیکنالوجی کے ساتھ جوڑتے ہیں۔ مناسب قیمت والی ڈینٹل لیب کی خدمات کے لیے آج ہی ہم سے رابطہ کریں اور شینزین کی پریمیئر وینیر ڈینٹل لیب کی فضیلت کا تجربہ کریں۔
E-max veneers اور Feldspathic veneers میں کیا فرق ہے؟
+
-
E-Max veneers، جو لتیم ڈسلیکیٹ سے بنے ہیں، اپنی طاقت اور استحکام کے لیے مشہور ہیں۔ تاہم، شینزین ڈینٹل لیبز میں تیار کیے گئے فیلڈ اسپیتھک وینر، شکل اور رنگ کی زیادہ سے زیادہ تخصیص کی اجازت دیتے ہیں۔ انہیں اکثر قدرتی، ذاتی نوعیت کی ظاہری شکل حاصل کرنے کے لیے ترجیح دی جاتی ہے۔
Feldspathic Veneers کتنے پتلے ہیں؟
+
-
Feldspathic veneers 0.3 mm جتنی پتلی ہو سکتی ہے، جس کے لیے کم سے کم دانتوں کی تیاری کی ضرورت ہوتی ہے۔
کروes feldspathicveneers دانت کی تیاری کی ضرورت ہے؟
+
-
دانتوں کی تھوڑی تیاری کے ساتھ بہت پتلی فیڈسپتھک وینیرز بنائے جا سکتے ہیں۔
کیا وہ قدرتی دانتوں کی طرح نظر آتے ہیں؟
+
-
جی ہاں، فیلڈ اسپیتھک وینیرز کو آپ کے قدرتی دانتوں کے رنگ، سائز اور شکل کی نقل تیار کرنے کے لیے احتیاط سے ڈیزائن کیا گیا ہے، جس سے ایک بے عیب اور نامیاتی نظر آنے والی مسکراہٹ پیدا ہوتی ہے۔
وہ کب تک چلتے ہیں؟
+
-
مناسب دیکھ بھال کے ساتھ، فیلڈ اسپیتھک وینیرز کئی دہائیوں تک چل سکتے ہیں۔ باقاعدگی سے برش، فلاسنگ، اور سخت کھانوں سے پرہیز ان کی لمبی عمر کو یقینی بنائے گا۔
ڈاؤن لوڈ، اتارنا ٹیگ: feldspathic veneers، چین feldspathic veneers مینوفیکچررز، سپلائرز، فیکٹری
